A prevenção através de um serviço especializado e de qualidade. Constituído por diversos especialistas que identificam as necessidades em saúde e que visam facilitar o acesso aos serviços. Pretendemos um núcleo familiar saudável pelo que a nossa missão será justamente a prestação de serviços à família.
AS NOSSAS ESPECIALIDADES
Estética e Auto-estima
A posição dentária e a cor do sorriso são duas valências com elevado impacto psicossocial. Na sociedade atual, a aparência tem um peso bastante elevado, pelo que a busca de um sorriso mais branco, para além de harmonioso, é uma constante na Clínica Simsmile.
Efeitos imediatos
Existem inúmeras técnicas através das quais podemos tornar o sorriso dos nossos pacientes mais brancos. O branqueamento dentário pode ser realizado no consultório, através de um protocolo que alia o princípio ativo do produto com as propriedades da luz LED, ou em sua casa.
A sensibilidade dentária após branqueamento dentário é uma consequência da interação entre os componentes do gel de branqueamento e a superfície do dente, mas é transitória. Dependendo das concentrações de gel, podemos ter mais ou menos sensibilidade. Na Clínica Simsmile usamos concentrações compatíveis com a saúde dos tecidos moles e duros da cavidade oral.
Tratamento Não Invasivo
A realização de branqueamento dentário não compromete o esmalte dentário.
Passo a Passo
1º Higiene Oral:
Destartarização e remoção do pigmento extrínseco.
2º Branqueamento
- Em consultório: 1 sessão de vários ciclos padronizados + seringas e moldeira para manutenção
- Em ambulatório: seringas e moldeira até obter a cor pretendida
3º Substituição de restaurações antigas
Após o branqueamento dentário, é fundamental a uniformização da cor do sorriso através da substituição de restaurações, sobretudo na zona estética.

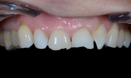
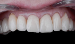
Coroa cerâmica antes

Coroa cerâmica depois
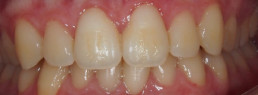
Estética e reprodução da natureza
Reproduzir a natureza, mantendo a estética e função é o principal objetivo deste tratamento quando o realizamos na Clínica Simsmile. As coroas e pontes realizadas são adaptadas a cada caso e a cada rosto. Terá uma solução estética feita individualmente para o seu caso.
Solução fixa
Sem precisar de se preocupar com os incómodos de uma solução removível, tem o conforto e qualidade de vida fornecidas por coroas e pontes fixas aos seus dentes.
Reforço da estrutura dentária
Dentes com perda significativa da sua estrutura, mas saudáveis ao ponto de poderem ser mantidos em boca são reforçados com o recurso a este tratamento. Com a ajuda da cerâmica, um material resistente, a estrutura dentária é reforçada.
Durabilidade
A cerâmica utilizada é um material de extrema durabilidade, com estabilidade de cor e biologicamente compatível com os tecidos dentário. Não há risco de reações alérgicas.

Saúde oral restabelecida
A saúde oral existe quando os dentes estão livres de patologias. A cárie dentária representa a patologia oral mais prevalente na nossa sociedade.
Menos riscos de infeção
A cárie sendo um processo infecioso, quando em extensões mais avançadas poderá atingir o nervo do dente, que caso não seja tratado a tempo poderá levar à desvitalização do mesmo.
Sem dores
As dores ao frio e ao comer doces provocadas pelas cáries desaparecem facilmente com o devido e precoce tratamento das mesmas.
Passo a Passo
1º Remoção da cárie
O tratamento é realizado numa consulta. Com o dente anestesiado remove-se o tecido cariado mantendo em seu redor apenas tecido saudável.
2º Restauração do dente com material estético
Após a remoção da cárie, o dente é preparado para receber o material estético, compósito. É realizada a escolha da cor apropriada a cada dente, de modo a que não hajam diferenças visíveis entre o dente e a restauração. Este material é resistente a cargas e restaura a função mastigatória do dente.
3º Ajustes de oclusão e polimento
No fim da consulta é verificada a forma como trinca e feitos os ajustes necessários. Posteriormente é dado o polimento final de modo a não sentir qualquer diferença entre o dente e a restauração.

Abordagem Conservadora
Desvitalizar um dente consiste na preservação da estrutura, na qual se remove o nervo do dente e se promove o selamento dos canais com materiais próprios para o efeito. Na Clínica Simsmile temos médicos especializados em Endodontia.
Controlo de focos de infeção
Nem todos os dentes passam por crises agudas de dor. Em determinados casos, criam-se vias de drenagem (alívio de pressão interna), com a reabsorção do osso que envolve as raízes dos dentes. Com o tratamento endodôntico estas lesões tendem a diminuir ou até mesmo desaparecer na totalidade.
Passo a Passo
- Abertura Coronária e Acesso aos Canais: A primeira fase passa pela anestesia do dente em questão e abertura do mesmo para expor o nervo do dente.
- Irrigação e Limpeza: A limpeza dos canais é fundamental, e para isso usamos soluções irrigantes de forma a remover o nervo na totalidade, promovendo a desinfeção do dente.
- Preparação Químico-mecânica dos Canais -Os canais são preparados de modo a receber o material de preenchimento.
- Obturação dos canais: Selamento dos canais com materiais próprios e técnicas adaptadas a cada caso.
- Restauração: Uma vez terminado o tratamento endondôntico a realização da restauração final é assegurada pela Dentisteria ou Prótese Fixa.

O sorriso com que sempre sonhou
As facetas dentárias ou lentes de contacto dentárias são finas capas de cerâmica colocadas na superfície dos dentes. Têm menos de 1 mm de espessura e corrigem pequenas imperfeições na forma, volume e cor dos dentes.
Facetas ou Lentes de contacto dentárias
Apesar de delicadas, as facetas dentárias têm um elevado grau de durabilidade. Na Clínica Simsmile, cada faceta dentária é desenhada individualmente e, através da tecnologia CAD-CAM é assegurada a adaptação precisa entre a cerâmica da faceta dentária e o esmalte do dente.
Solução minimamente invasiva
Evitamos recorrer ao desgaste da superfície do dente para a aplicação de facetas dentárias, na Clínica Simsmile. Quando é necessário recorrer ao desgaste dentário, este é mínimo (entre 0,2 a 0,5 mm), poupando sempre a superfície do dente.
Naturalidade e estética acima de tudo
A escolha da forma, do volume e da cor de cada faceta dentária deve ser criteriosa, estando em harmonia com as características únicas de cada paciente. Alcançar a naturalidade em cada detalhe, em cada sorriso, é o objetivo da Clínica Simsmile.

A Harmonização Orofacial procura o equilíbrio e a harmonia do sorriso e da face através da sinergia entre os tratamentos dentários e os tratamentos ao nível dos tecidos de suporte da região perioral. A aplicabilidade destas técnicas vai muito para além da estética, existindo atualmente diversas indicações terapêuticas. Na Clínica Simsmile avaliamos caso a caso e em conjunto com o paciente desenvolvemos o plano ideal.
Que tratamentos inclui
- Aplicação de toxina botulínica (conhecido como Botox)
- Aplicação ácido hialurónico
- Mesoterapia
- Aplicação de fios de sustentação
- Hidratação profunda (SKINBOOSTER)
Áreas de aplicação
A Harmonização Orofacial representa um complemento em diversas áreas da medicina dentária, nomeadamente na cirurgia oral, reabilitação oral, ortodontia, periodontologia e oclusão. São exemplos de áreas de aplicação:
- Otimização/recuperação do suporte e volume labial
- Projeção dos tecidos moles periorais
- Sorriso gengival
- Relaxamento do músculo mentoniano (aspeto “casca de laranja” do queixo)
- Comissuras labiais invertidas
- Preenchimento da região malar
- Suporte dos sulcos nasogenianos
- Correção/definição da linha de ângulo mandibular
- Sorrisos assimétricos

A Higiene Oral é o fator determinante na prevenção
Tudo começa com a higiene oral. Inclui o diagnóstico, prevenção e terapêutica de doenças orais, sendo também determinante na manutenção dos tratamentos efetuados nas outras áreas de Medicina Dentária.
Se mantiver os cuidados recomendados e se comparecer a uma consulta de higiene oral regularmente, vai conseguir fazer uma correta eliminação dos resíduos de alimentos que se vão acumulando nos dentes e nas gengivas. Desta forma, vai evitar a formação da placa bacteriana, do tártaro e prevenir as principais causas de cárie dentária e doença periodontal. A prevenção e a manutenção são os segredos da visita ao seu higienista oral.

Implantes Dentários
Dedicamo-nos à colocação de implantes dentários e estamos muito direcionados à reparação de dentes perdidos, mimetizando o dente natural.

Passo-a-passo:
O processo de colocação de implantes normalmente é feito em três fases:
- Raiz: começamos por colocar a raiz propriamente dita que é o implante de titânio. O implante é feito sob anestesia local. Um tratamento ultra simples e muitas vezes tão rápido quanto uma restauração de um dente.
- Dentes Provisórios: Em muitos casos, é possível colocar dentes provisórios sobre os implantes no dia da cirurgia.
- Dentes Permanentes: Após alguns meses, depois das células do organismo aceitarem a raiz com dentes provisórios como parte do nosso organismo, o dentista irá finalizar o tratamento, substituindo o dente provisório por uma coroa de cerâmica colocada por cima do implante, a torná-lo completamente fixo.
O implante dentário é um tratamento simples e muito confortável, do ponto de vista mastigatório e estético, considerado hoje em dia o melhor tratamento para substituir dentes perdidos.

Aparelho invisível
O Invisalign® permite realizar um tratamento ortodôntico eficaz e discreto. Através de alinhadores dentários transparentes, este aparelho é praticamente impercetível.
Higienização
Por ser removível, o Invisalign® permite uma higiene oral diária facilitada através da escovagem e do uso de fio dentário. A higiene oral regular, reduz a presença de placa bacteriana, prevenindo o aparecimento de problemas orais futuros.
Maior conforto
Os alinhadores Invisalign® podem ser removidos para cada refeição e colocados novamente após a higiene oral. O dia-a-dia acontece sem que se lembre que está a fazer um tratamento ortodôntico.
Passo a Passo
1º Estudo digital ClinCheck
A consulta de estudo integra a realização de fotografias e radiografias que permitirão o planeamento rigoroso do tratamento ortodôntico com recurso ao software ClinCheck, onde o sorriso é desenhado em 3D.
2º Planeamento do caso
O sorriso de cada paciente é estudado e desenhado individualmente, recorrendo ao software ClinCheck. O paciente pode ainda pré-visualizar as alterações dentárias que acontecerão no seu sorriso.
3º Entrega dos alinhadores Invisalign®
O estudo digital indica quantos alinhadores serão necessários ao longo do tratamento. A cada 6 semanas é feita a monitorização do plano de tratamento e a entrega dos novos alinhadores necessários até à consulta seguinte

A higiene dentária infantil
A Odontopediatria é a área da Medicina Dentária que se dedica à higiene dentária infantil. Na Clínica Simsmile, o sorriso das crianças, dos adolescentes, das grávidas e de pacientes com necessidades especiais tem uma área dedicada.
A primeira consulta no dentista, ainda durante a infância, permite prevenir ou impedir o desenvolvimento de problemas na saúde oral, mesmo antes dos primeiros dentes de leite nos bebés.
A primeira consulta
A primeira consulta de Odontopediatria dos mais novos apresenta uma componente mais preventiva e terapêutica. Esta é essencialmente para preparar e aconselhar os pais e as crianças para bons hábitos de higiene oral e de alimentação, possibilitando uma boa saúde oral desde bem cedo.
A frequência das consultas
A frequência das consultas de Odontopediatria variam de criança para criança, mas o recomendado será de 6 em 6 meses ou 1 vez por ano, já que a infância é a fase em que se verificam mais situações de traumatismos dentários.

Aparelho convencional

Aparelho removível

Invisalign
A Ortodontia é a especialidade da Medicina Dentária relacionada com o estudo, prevenção e tratamento dos problemas de crescimento e desenvolvimento da face, dos arcos dentários e da mordida, ou seja, das disfunções dento-faciais.
Dentes desalinhados, demasiadamente protruídos (dentes para frente) ou retraídos (dentes para trás) podem, além de prejudicar a auto-estima do paciente, favorecer o aparecimento de diversos problemas, como cáries, doenças gengivais ou dificuldades de mastigar.
O tratamento ortodôntico pode resolver esses problemas, estabelecendo um melhor equilíbrio entre os dentes, os lábios e a face, e, principalmente, restabelecendo a função normal dos dentes em movimento.
Passo a Passo
1º Estudo e planeamento individualizado do caso
Através da realização de modelos, fotografias intra e extra-orais e exames radiológicos na clínica é feito o estudo prévio adaptado a cada caso. Este planeamento permite perceber o que será necessário para alcançar o resultado pretendido, bem como a duração do tratamento.
2º Colocação do aparelho ortodôntico
Colocação das peças que ficarão unidas aos dentes nas posições corretas (brackets). Este processo de colocação é indolor. A partir desta consulta vai começar a notar movimento dos dentes para a posição pretendida.
3º Consultas de controlo
Consultas de controlo onde tudo é verificado, são alteradas as peças necessárias de maneira a atingir o resultado esperado e higienizado o aparelho ortodôntico.

As doenças periodontais ou das gengivas são uma das principais causas de perda de dentes nos adultos. Na Clínica Simsmile aconselhamos visitas regulares ao dentista para manter a saúde das gengivas e para um diagnóstico e tratamento atempados quando necessário.
A fase inicial das doenças de gengivas chama-se gengivite. As fases mais avançadas das doenças periodontais são problemas mais sérios com sintomas como: mau sabor persistente, dentes permanentes que estão móveis ou a separarem-se, alterações na forma como os seus dentes encaixam quando trinca.
A inflamação e o sangramento das gengivas é uma situação relativamente comum, causada pela existência de bactérias. Contudo, nos casos crónicos, a permanência prolongada de bactérias e inflamação gengival causa a destruição do próprio osso. Como resultado a gengiva recua, expondo parte da raiz, sendo fundamental o pronto tratamento. Nestes casos, só a intervenção do médico dentista pode fazer parar este processo, resolvendo em alguns casos o “abanar” do dente e prevenindo a sua perda. Na Clínica Simsmile temos uma equipa especializada em Perio que acompanha os pacientes.

Uma solução definitiva e fixa
A prótese total fixa sobre implantes, também conhecida como carga imediata, garante estabilidade para o dia-a-dia, sendo mais cómoda para todas as situações. Vai sentir que este novo sorriso sempre foi o seu e poderá ser uma solução para toda a vida. Na Clínica Simsmile conseguimos devolver-lhe o sorriso que sempre sonhou.
Recuperar a funcionalidade da boca
Sorrir é importante, mas não é tudo. Com a prótese total fixa sobre implantes vai ser possível mastigar, respirar e falar sem dificuldade, na Clínica Simsmile temos disponíveis materiais altamente sofisticados garantindo ao paciente os melhores resultados.
Dentes em 1 dia
O tratamento de colocação de prótese total fixa sobre implantes pode ser resumido em apenas 2 fases: planeamento e cirurgia. Quanto mais detalhado for o planeamento, mais rápida e simples será a cirurgia. Felizmente, a tecnologia é uma aliada e garante maior qualidade num menor espaço de tempo. O acompanhamento da equipa da Clínica Simsmile, ao longo de todo o processo, é também uma grande vantagem.
Estética e naturalidade acima de Tudo
É nossa preferência que cada carga imediata tenha resultados esteticamente naturais e cumpra a funções essenciais da boca. Não há dois sorrisos iguais e, por esta razão, cada prótese total fixa é criada no laboratório de prótese da Clínica Simsmile como sendo única.